Luni - Vineri: 10:00 - 20:00    Sambata - Duminica: 10:00 - 17:00
telefon0723 156 293
Radutiu Dent logo
Promotie luna Ianuarie
Fatete E-Max 1500 lei

Ceramica pe suport zirconiu 1000 lei
Programeaza-te online completand formularul si ai 15% REDUCERE si Consultatie gratuita !
Doresc o programare
  • Acasa
  • De ce noi?
  • Onorarii
  • Servicii
  • Echipa
  • Galerie foto
  • Rezultate clienti
  • Programare
  • Contact

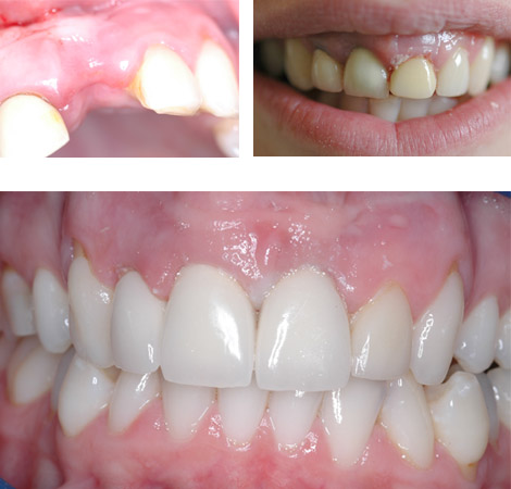
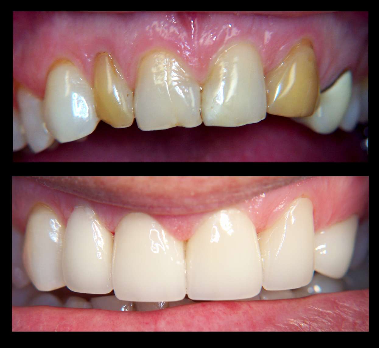
Galerie Foto

AcasaGalerie foto - Inainte si Dupa
Clinica dentara Radutiu-Dent Bucuresti © 2026 Toate drepturile rezervate